Teeth Whitening
Teeth Whitening Services
Years of staining from virtually everything we eat, drink and inhale can discolour our teeth. Staining occurs on the surface of our teeth, caused by tea, coffee, red wine and tobacco. Discolouration can also occur within the tooth structure due to dental disease. This discolouration can be erased in a short space of time by tooth whitening.
The tooth whitening systems currently available at Standish Street Dental are:
• Boutique Whitening bespoke tray and gel system (home whitening)
• Philips Zoom! in-surgery laser whitening with top-up trays
Our whitening services are divided into three packages, tailored to suit the needs of each individual.
1 – Standard home whitening
• Consultation with the Dentist
• Bespoke upper and lower whitening trays
• Demonstration of tray usage
• Take home pack including 4 tubes of 16% Boutique Gel.
• Review appointment after 1 month to check progress and grade shade change.
Price: £385
2 – Standard surgery whitening
• Consultation with the Dentist
• Bespoke upper and lower whitening trays
• Take home pack of 2 Zoom 6% Day White whitening gels provided prior to Zoom!
• Zoom! in surgery laser whitening treatment with our Dental Hygienist
• Review appointment after 1 month to check progress and grade shade change
Price: £585
3 – Extra surgery whitening
• Consultation with the Dentist
• Fitting of bespoke upper and lower whitening trays
• Take home pack of 2 Zoom 6% Day White whitening gels
• Zoom! in surgery laser whitening treatment with our Dental Hygienist
• Review appointment after 1 month to check progress and grade shade change
Price: £650
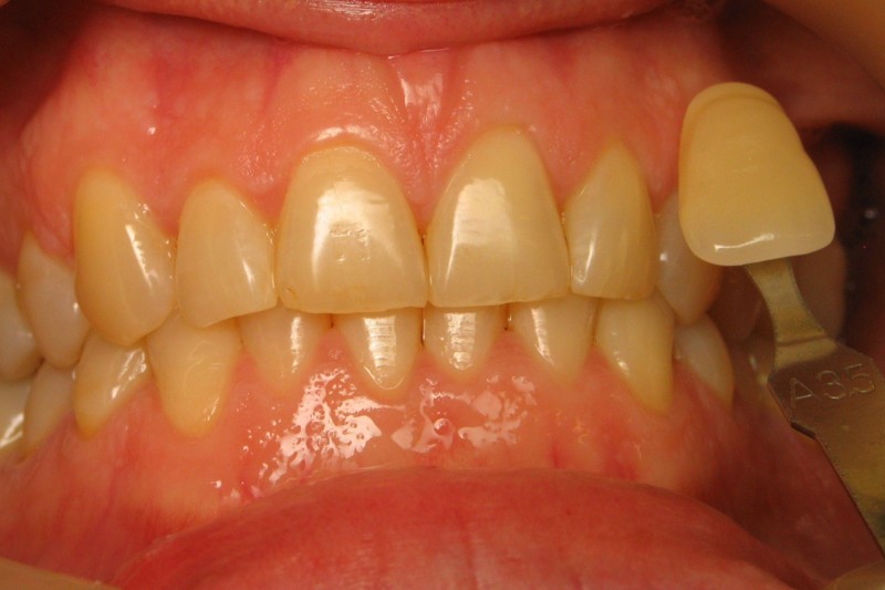
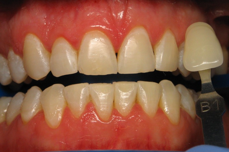
Case Study
Zoom! whitening.
See more tooth whitening results and lots of other treatments too at our Case Studies page.

Before

After
Did you know?
You don’t have to be registered at Standish Street Dental to have a tooth whitening treatment. Just call our reception team on 01282 415543 to book in for a tooth whitening assessment (only £46.20, or free of charge if already a regular patient at Standish Street Dental).