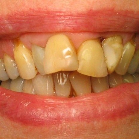
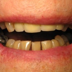
Orthodontics Case Studies
Scroll through our gallery to see a selection of before and after pictures for patients who have undergone orthodontic treatment.
Scroll through our gallery to see a selection of before and after pictures for patients who have undergone orthodontic treatment.