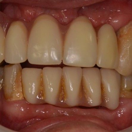
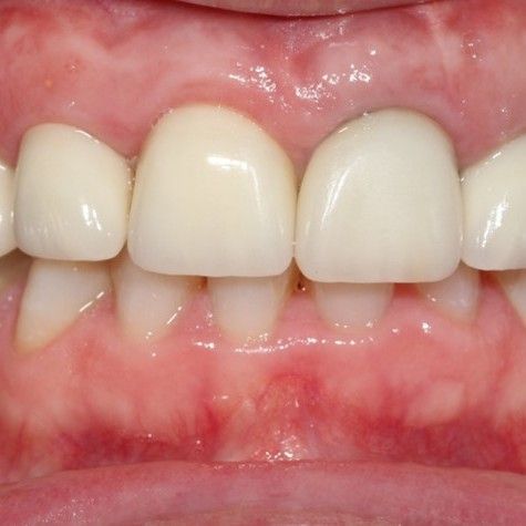
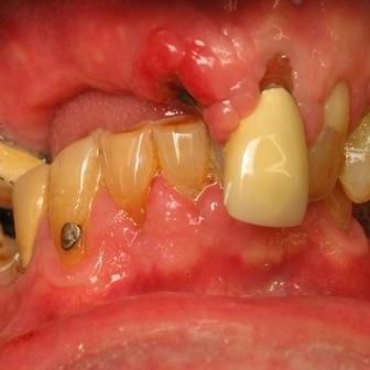
Dental Implants Case Studies
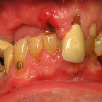
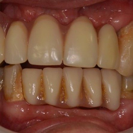
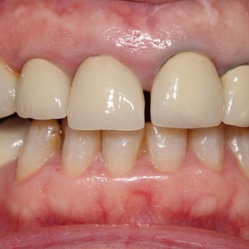
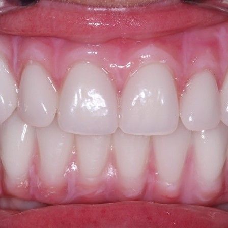
Scroll through our gallery to see a selection of before and after pictures for patients who have had their dentition restored using dental implant treatments.
Scroll through our gallery to see a selection of before and after pictures for patients who have had their dentition restored using dental implant treatments.