Periodontal Treatment
What is Periodontitis?
Each tooth is embedded in the jawbone. The root is anchored to the bone by many tiny fibres. The jawbone is covered by soft gum tissue, which acts like a cuff to the neck of the tooth. If plaque is allowed to build up on the teeth, poisons produced by the bacteria in the plaque make the gums inflamed. This is called gingivitis and is an early stage of gum disease (periodontal disease).
In time, the plaque, if not removed, spreads below the gum. The inflammation then spreads to the tiny fibres and bone surrounding the tooth, forming a pocket. This is called periodontitis. As the bone is destroyed, the pocket deepens and the tooth becomes loose and abscesses can occur.
All these stages can occur without any pain and therefore continuing maintenance and dental appointments are necessary.
Periodontal Treatment
Treatment can vary from simple scaling and root planning to surgical treatment or gingival recontouring, depending on the severity of the case.
The first stage in cases of periodontal disease is to undertake a thorough examination of the condition of your mouth. This involves taking measurements around each tooth, to determine the severity of the disease.
In severe cases, you may be prescribed a Full Mouth Disinfection, which usually involves two or more long appointments with the dental hygienist to thoroughly eradicate all deposits of plaque and calculus from around your teeth, flushing out the 'pockets' with chlorhexidine (antibacterial rinse) and cleansing all the tooth and root surfaces of infection. This, along with instruction in the optimum techniques for home oral care, provide a foundation for a healthy mouth, which will be regularly monitored by the dental team.
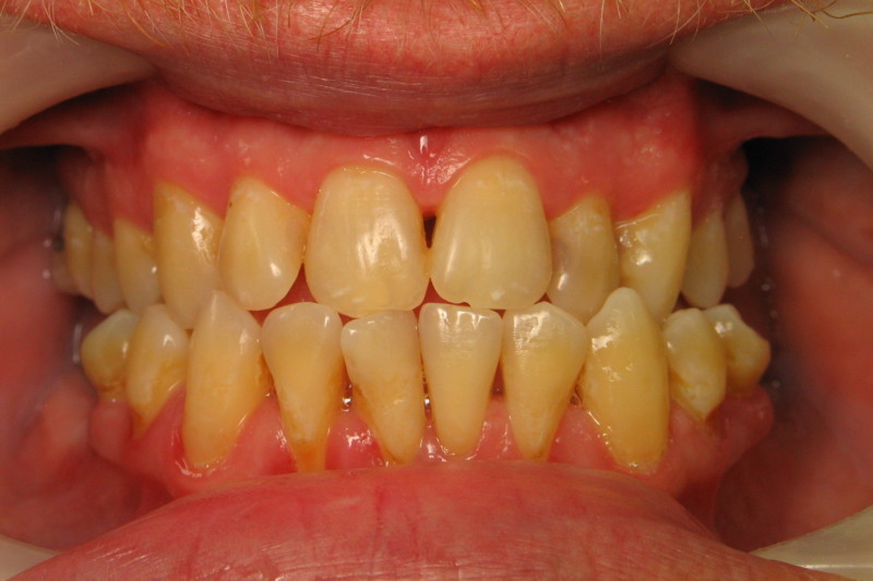
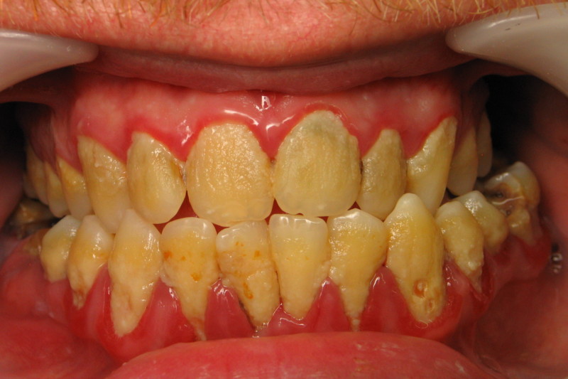
Case Study
This patient suffered from inflamed and bleeding gums caused by advanced periodontal disease. A full mouth disinfection and regular maintenance with the dental hygienist created a much healthier environment for any future dental treatments.
See more real life smile transformations at our Case Studies page.
 
                
            Before
 
                
            After
