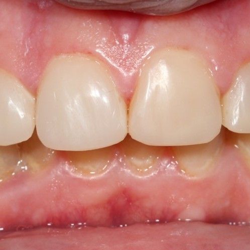
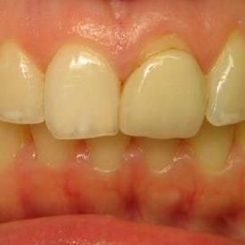
Restorative Dentistry Case Studies
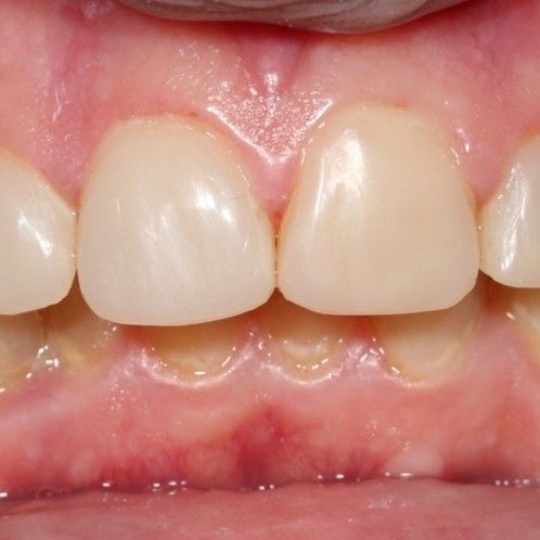
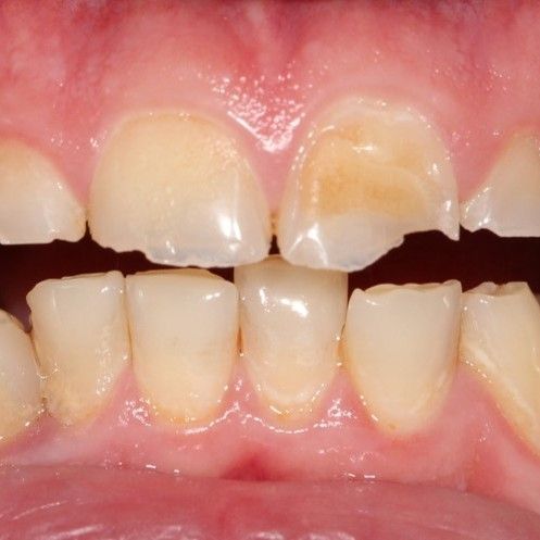
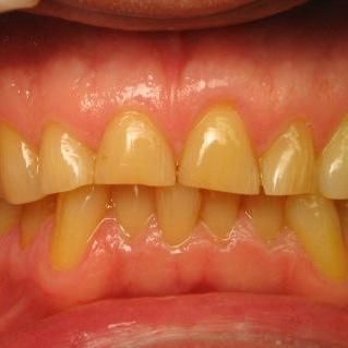
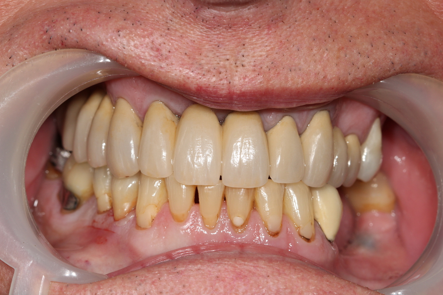
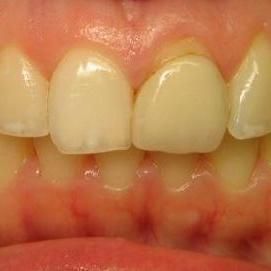
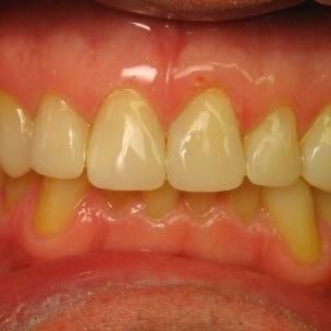
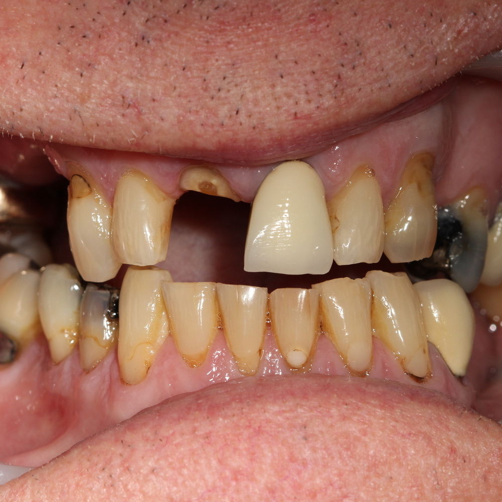
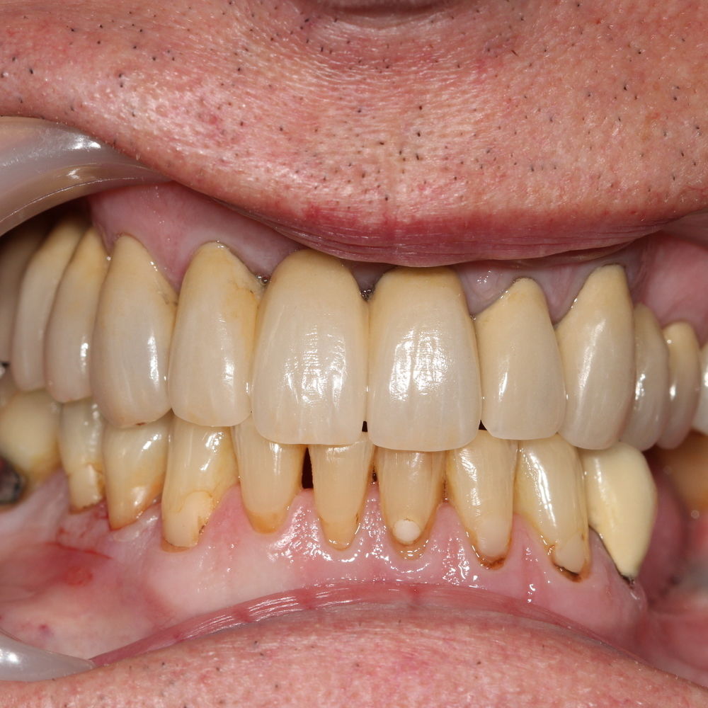
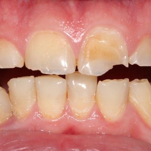
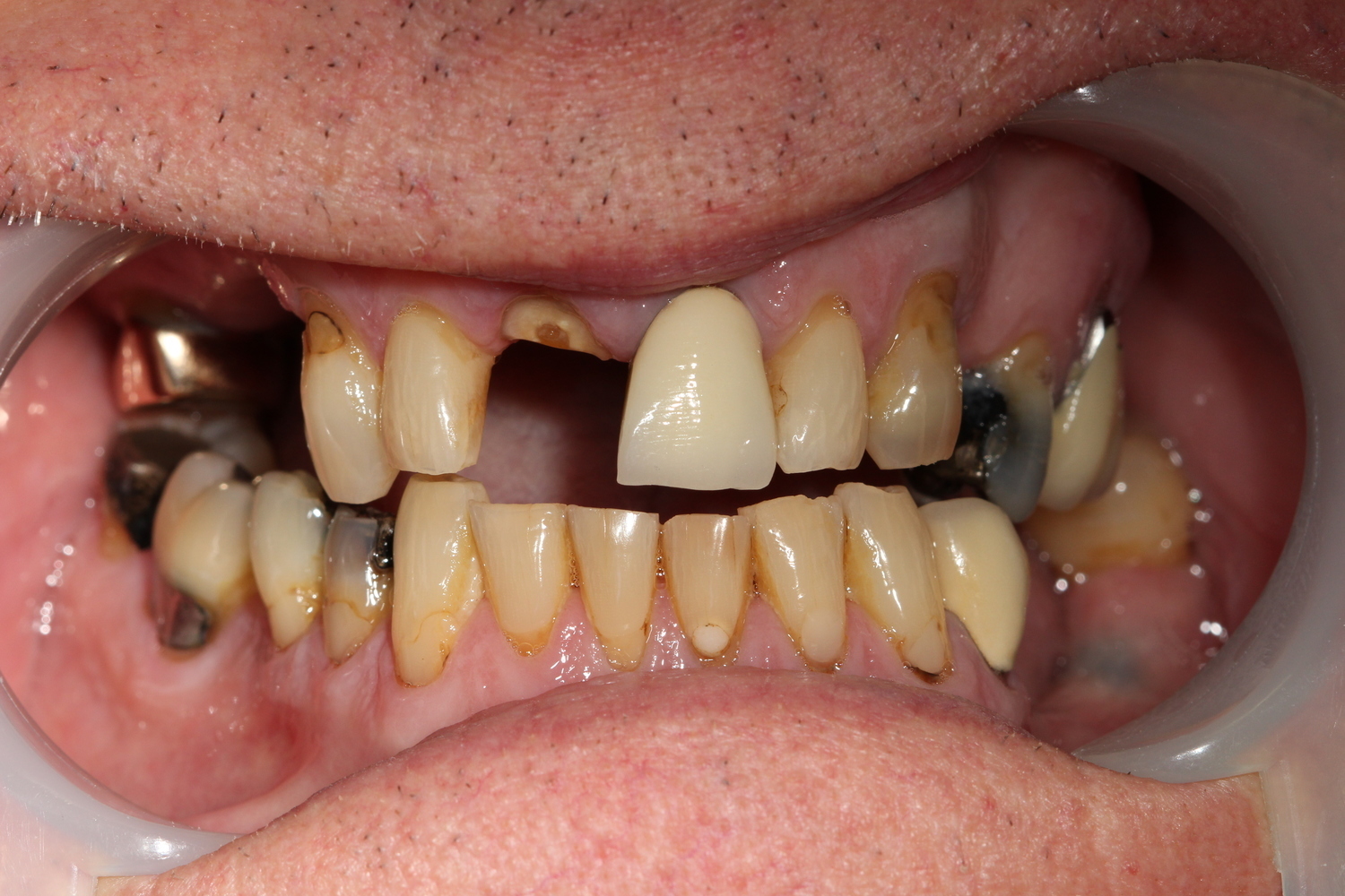
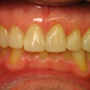
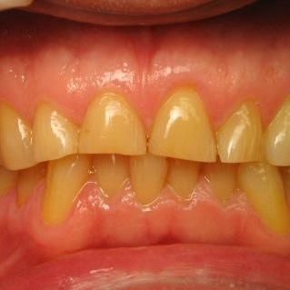
Scroll through our gallery to see a selection of before and after pictures for patients who have had their dentition restored using a range of different techniques.
Scroll through our gallery to see a selection of before and after pictures for patients who have had their dentition restored using a range of different techniques.