Orthodontics
WHAT is Orthodontics?
Orthodontics is the branch of dentistry dealing with the prevention or correction of irregularities of the teeth. It can also help to look after the long-term health of the teeth, gums and jaw joints, by spreading the biting pressure over all the teeth.
Children under the age of 16 and adult patients with clinically necessary orthodontic requirements qualify for free metal braces on the NHS. For those who prefer the less obtrusive and low visual impact aesthetic alternatives, or who require orthodontics for cosmetic reasons, private treatment is recommended.
Dr Fozia Hameed BDS, MFGDP RCS Eng, PGCert.Ortho
Practice Owner Dr Fozia Hameed is a dentist with a special interest in orthodontics and 25 years of experience in general practice. This is ideal for those patients who require a multi-faceted approach to their dental treatment.
At her Wednesday clinic Fozia provides fixed orthodontics with metal/tooth-coloured ceramic braces or clear aligners.
Consultations cost £100.
Prices for treatment start from approximately £3,000.00
Fixed Braces
Fixed braces are made up of bands and brackets that are stuck onto each tooth. Straightening wires run between the various attachments and the teeth are moved with tensioned elastics. The fixed attachments may only be adjusted and removed by the orthodontist. The most commonly used fixed braces are made from stainless steel.
The visual impact of the fixed appliance can be vastly improved by opting for Clarity White brackets. These are tooth coloured ceramic attachments, designed to blend in with the natural colour of your teeth, reducing self consciousness during treatment. The length of treatment varies between 9 months and two years although complex cases may take longer. It is extremely rare for treatment to last more than three years.
Prices start from approximately £3,700.00
Clear Aligners
These systems utilise a progressive set of clear removable braces, each aligner being slightly different so as to gradually move your teeth into the desired position. The treatment is nearly invisible, allowing you to smile with confidence during your treatment. Also, the braces are removable meaning you can eat or drink whatever you like.
Treatment times range from 3 to 24 months, depending on the requirements of each individual patient's treatment.
Prices start from approximately £4,900.00

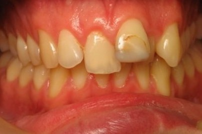
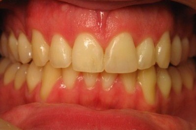
Case Study
This young man wanted to improve the appearance of his crooked and discoloured teeth, which was achieved with a course of orthodontics and composite resin.
See more of our fantastic results at our Case Studies page.

Before

After
Want to refer?
We accept referrals for dental implant treatments, digital radiographs, CBCT scans, orthodontics and complex restorative treatments.