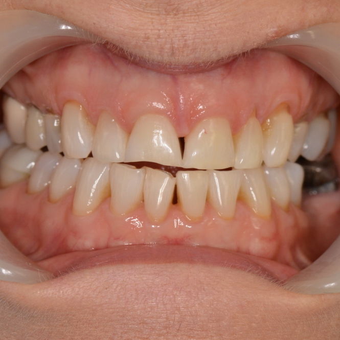
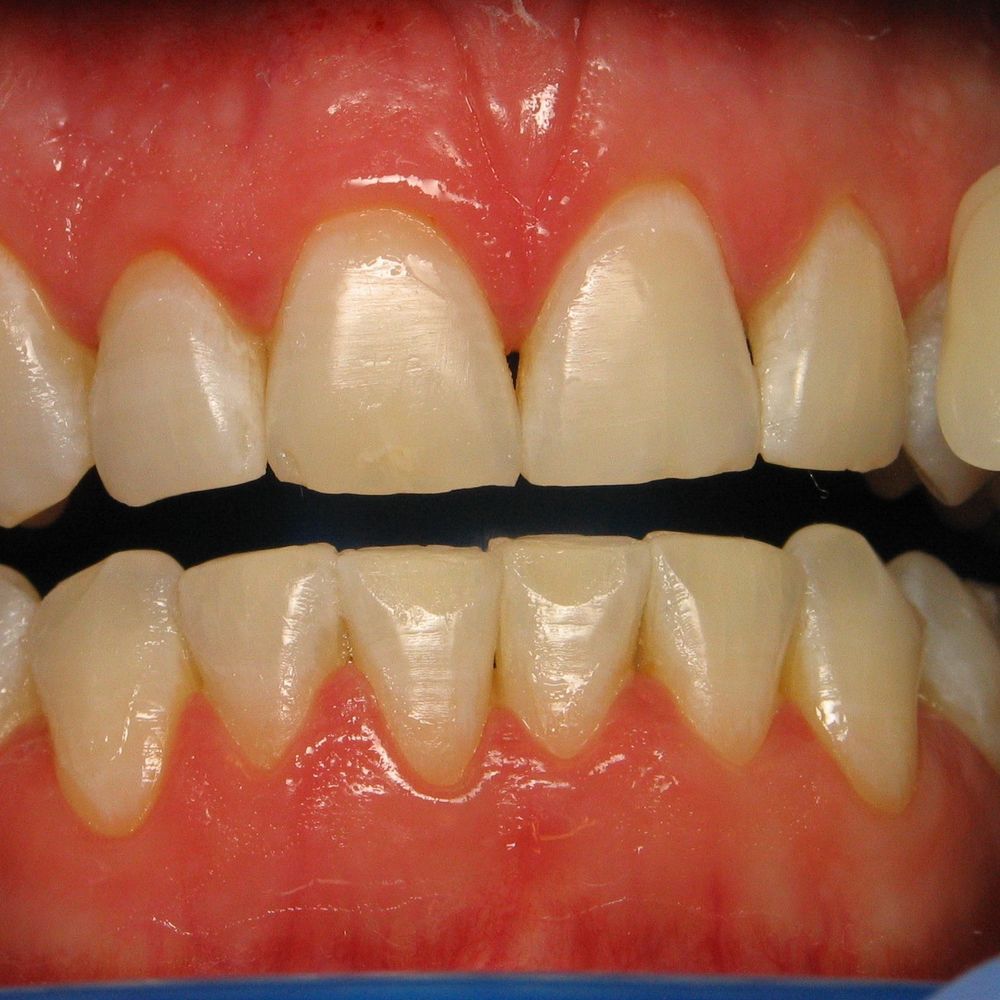
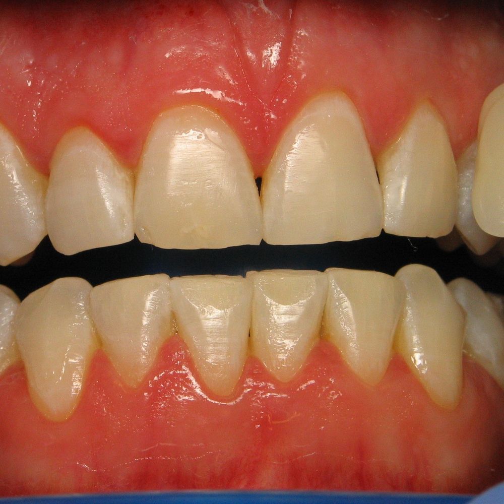
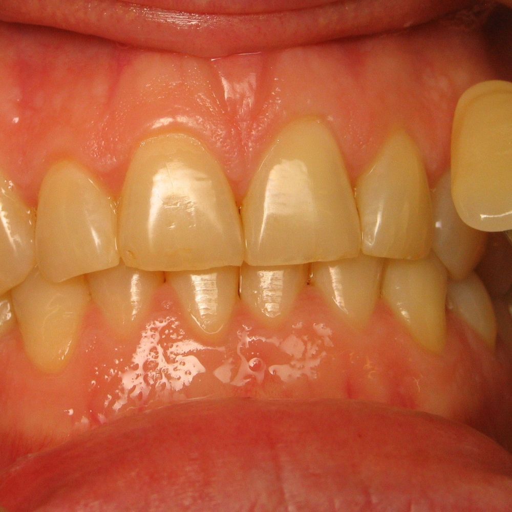
Cosmetic Dentistry Case Studies
Scroll through our gallery to see a selection of before and after pictures for patients who have had cosmetic dental treatments provided.
Scroll through our gallery to see a selection of before and after pictures for patients who have had cosmetic dental treatments provided.